Dentiste à LYON dans le 3ème arrondissement
Dr JF GOFFOZ - Scanner 3D - Implant dentaire
Dentiste à LYON dans le 3ème arrondissement

224 Cours Lafayette Immeuble EMERGENCE
69003 LYON

Dr JF GOFFOZ - Scanner 3D - Implant dentaire

Accueil

Bienvenue sur le site du docteur GOFFOZ Dentiste à LYON dans le 3ème arrondissement. Scanner préimplantaire. Chirurgie et Prothèses implantaires.


Le cabinet dentaire du Dr Goffoz, chirurgien dentiste à Lyon dans le 3ème arrondissement est heureux de vous accueillir sur son site Internet destiné à vous communiquer les meilleures informations de prévention, de santé bucco-dentaire ainsi que tout ce qui concerne les implants et les soins esthétiques.


Depuis 2001, notre cabinet s‘efforce de proposer à nos patients les dernières avancées technologiques tant en matière de CFAO (CONCEPTION DES PROTHÈSES ASSISTÉE PAR ORDINATEUR) qu’en techniques laser (traitements intra-buccaux et du visage).


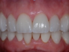
Par CFAO, la couronne en céramique pure devient le traitement de choix dans les situations où la carie a détruit la majeure partie de la dent, quand un événement traumatique a causé des dommages, ou en raison de graves érosions de l'émail. Elle peut être également une option pour les gens qui grincent et serrent les dents


La réalisation par CFAO des couronnes à notre cabinet utilise les dernières techniques numériques et permet de respecter les souhaits esthétiques de nos patients grâce à différents types de céramique: eMax, Zircone … En outre l’absence de métal rend les prothèses plus naturelles et empêche la coloration de la gencive et/ou de la racine de la dent.


L’esthétique est donc optimale avec ces matériaux utilisés quotidiennement. 


La présence au cabinet d’un prothésiste formé depuis 15 ans à ces techniques est un réel atout pour obtenir la qualité de travail désirée pour et par nos patients .


Ce haut niveau de technicité allié à la réalisation numérique des couronnes nous permet enfin de réaliser des traitements esthétiques dans la journée, même dans des cas de reconstitutions importantes (10 dents)


La CFAO permet également de limiter le cout et donc de maintenir des tarifs accessibles à tous. Nous avons toujours trouvé regrettable que certains soient malheureusement tentés par des soins de moindre qualité dans les centres dentaires voisins parce que les tarifs proposés par les cabinets libéraux étaient plus élevés. Notre devoir, en tant que professionnel de santé est de pouvoir fournir des soins de qualité au plus grand nombre. N’hésitez pas à prendre rdv pour voir qu’un travail sérieux et appliqué ne coute pas forcément beaucoup plus cher qu’un travail réalisé en centre dentaire qui repose sur l’abattage et le sur-traitement.



Notre cabinet dentaire tient à rester à l’avant-garde des révolutions technologiques en matière de dentisterie. Notre équipe suit régulièrement des formations pour rester informée des dernières avancées médicales.


Dans un souci d’information sur ces techniques, nous serons heureux de répondre à toutes vos questions lors de votre prochain rendez-vous !

Les photos du cabinet

Le praticien

Docteur Jean françois GOFFOZ

Docteur Jean françois GOFFOZ

Docteur en chirurgie dentaire

Inscription à l'ordre n° 694031949

DIU Faculté Médecine Lyon

DU réhabilitation maxillofaciale Paris XII

Attestation Universitaire d’Implantologie

Certificat de Compétence Clinique en Chirurgie dentaire Laser Assistée

Accéder au cabinet

Moyens d’accès

Itinéraire

 

Moyens d'accès au cabinet dentaire :

 

Ligne B Arrets Brotteaux ou Part Dieu

Ligne T1 Arret Thiers
 
Ligne C3 Arret Thiers Lafayette
 

Sur rendez-vous : En appelant au 04 78 24 18 95


Le cabinet dentaire n'accepte pas les paiements par carte bancaire.

Horaires d'ouverture du cabinet dentaire :

Lundi 9h - 14h15h - 20h
Mardi 9h - 14h15h - 20h
Mercredi Fermé
Jeudi 9h - 14h15h - 20h
Vendredi 9h - 14h15h - 20h
Samedi Fermé
Dimanche Fermé

Prévention des caries chez l’enfant : le scellement des sillons

Sceller les sillons consiste à couler une résine fluide et fluorée dans les sillons des premières et deuxièmes molaires permanentes des enfants afin de les obturer.

Pourquoi l'excès de sucre est-il mauvais pour les dents ?

Le sucre est source de gros dégâts pour les dents. Il peut les détruire et parfois faire souffrir d’une bonne « rage de dent ».

La dent, composition, forme et fonction

De 6 mois à 6 ans environ, les enfants n’ont que des dents de lait. A 14 ans les dents définitives sont présentes, sauf les dents de sagesse.

video-play-icon
video-play-icon

Création par Webdentiste

Connexion